М9

М9
М9
М9
М9
М9
М9
М9
М9
М9
М9
М9
М9
М9
М9

М9

Портативная ультразвуковая система М9 – это система, позволяющая получать высококачественные точные клинические изображения и повышать эффективность и достоверность медицинской диагностики.

Характеристики
  • Echo Boost™
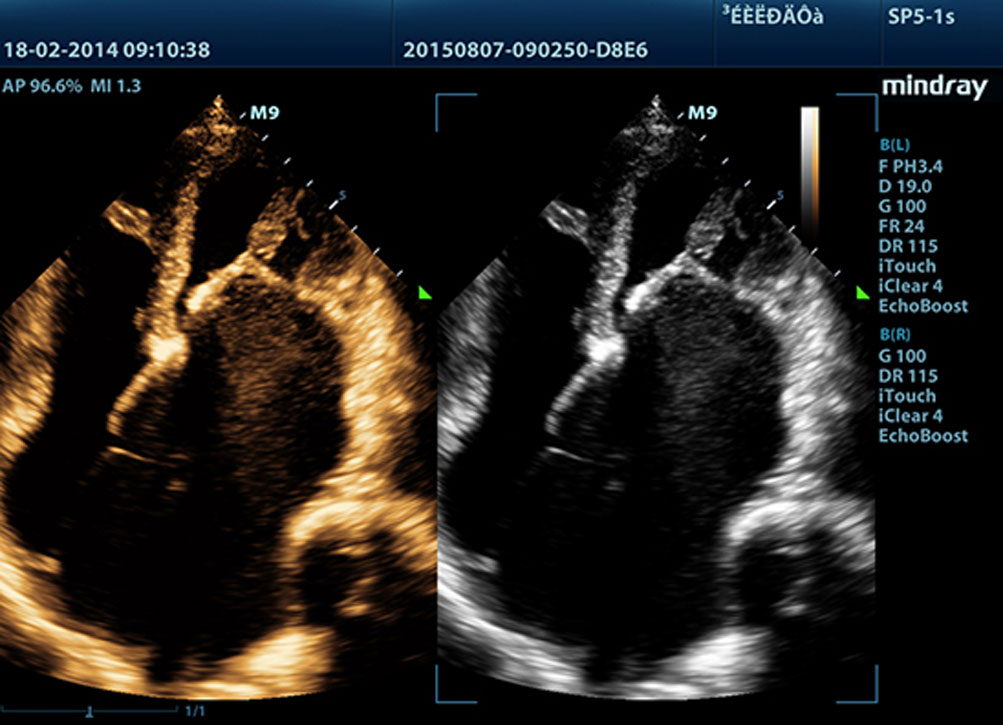
Уникальная адаптивная технология обработки сигнала от Mindray с интеллектуальной системой эходетекции, позволяющая использовать нативную информацию «сигнал/шум» для усиления слабого эхосигнала при одновременном снижении помех. Данная технология обеспечивает оптимизацию яркости изображения и повышение качества визуализации границ и структур сердца.

  • Функция позиционирования тканей с количественным анализом
С помощью этой функции на ультразвуковом системе M9 возможно быстро и просто, без использования инвазивных методов, выявлять нарушения локальной сократимости участков миокарда.

  • ЛВК со стресс-эхокардиографией
Функциональность премиум-класса позволяет системе выполнять контрастирование ЛЖ во время стресс-ЭхоКГ, улучшая разграничение между тканями миокарда и депо крови и обеспечивая лучшую визуализацию поверхности эндокарда.

  • Тканевая гармоника (ТГ)
Используя дополнительные гармоники, генерируемые в тканях пограничных слоев, ТГ значительно увеличивает контрастное разрешение и улучшает качество изображения, особенно когда доступ к исследуемому участку затруднен.

  • iClear™
Улучшение качества изображения за счет автоматического определения характера ткани.
- Более четкие и непрерывные края
- Плавное и единообразное отображение тканей
- Снижение зернистости в областях без эхосигналов

  • Технология датчиков 3T на основе монокристаллов
Все датчики, совместимые с ультразвуковой системой M9, изготовлены по уникальной технологии 3Т, разработанной компанией Mindray, и обеспечивают более четкую визуализацию. Благодаря дополнительному использованию монокристаллических элементов, система M9 отличается более высокой проникающей способностью и улучшенной динамикой цветопередачи, что особенно актуально при сканировании так называемых «сложных» участков.

  • Free Xros CM™
Огибающий (нелинейный) анатомический М-режим. Позволяет получить полную информацию о движении сердечной мышцы в различных фазах сокращения и одновременно определять степень синхронизации миокарда. Точность результатов обеспечивается высокой частотой кадров.

  • Auto EF
Интеллектуальный способ анализа изображений двухмерной эхокардиографии для автоматического распознавания диастолических и систолических кадров и вывода результатов КДО, КСО, реакции выброса и т. д. методом Симпсона.

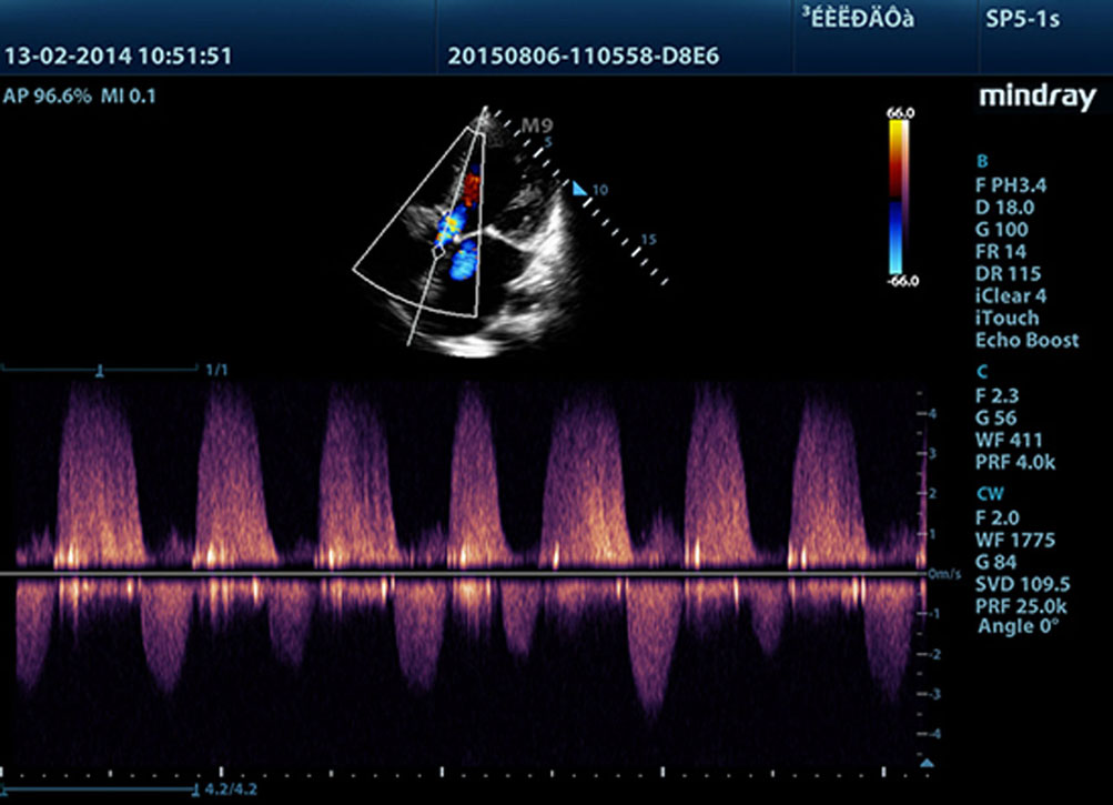
  • TDI
С помощью тканевой доплеровской визуализации можно определять количественные показатели движения и функционирования сердечной мышцы, используя режимы полной визуализации для быстрой и непосредственной диагностики.

  • iWorks™
Интеллектуальная система, позволяющая полностью сосредоточиться на пациенте. Благодаря использованию стандартизированных процедур и возможности индивидуальной настройки, этот инструмент помогает существенно сократить время обследования пациента.

  • Тонкий корпус из магниевого сплава с 15,6-дюймовым светодиодным тонким монитором HD

  • Встроенный аккумулятор обеспечивает время сканирования (90 мин)

  • Специальная тележка
Тележка для транспортировки, регулируемая пользователем со встроенной блокирующей системой, оперативная и простая в эксплуатации

Ультразвуковая диагностическая система М9 сочетает в себе оптимальную функциональность премиум-класса и мобильность. Основываясь на ультразвуковой платформе нового поколения mQuadro от компании Mindray, портативная система выводит отраслевые стандарты на новый уровень. Модернизированные процессоры приема и передачи сигналов обеспечивают высокую чувствительность и точность обнаружения эхо-сигналов. Благодаря инновационным технологиям, использованным при производстве датчиков, достигается более высокая проникающая способность и улучшается пространственное разрешение, что позволит вам осуществлять высококачественную диагностику.

Вернуться в каталог